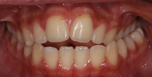
What is an Open Bite and How Can It Be Fixed? An open bite is a type of dental malocclusion where the upper and lower teeth do not make contact when the mouth is fully closed. This condition can occur in the front (anterior open bite) or back (posterior open bite) of the mouth and… Continue reading What is an Open Bite and How Can It Be Fixed?
Tag: openbite
Learn about open bites, their causes, and treatment options like braces and Invisalign to correct bite alignment.
